
Something Good from Something Bad
Tuesday, July 19, 2016
If you’re from Oklahoma, you remember the devastating May 2013 tornados. Thanks to many generous donors from across the nation, Oklahoma State University’s Center for Veterinary Health Sciences was able to treat 60 animal victims injured during those storms. And thanks to the work of Drs. Brandy Cichocki, small animal surgery resident, and Danielle Dugat, assistant professor of small animal surgery at OSU’s Veterinary Medical Hospital, something good came from the treatment they provided to two of those victims.
“We treated an Italian Greyhound dog for excessive respiratory effort eight days after the Moore tornado,” recalls Dugat. “About ten days after that same tornado, another dog, a Labrador Retriever, was referred to the Hospital with very similar symptoms.”
Dugat and Cichocki worked together on both cases. Both dogs were having difficulty breathing. There were no bruises or external wounds on either dog. One dog had weathered the storm in a shelter with its owner. The other dog had been found after the storm and later claimed from a disaster relief shelter by its owner.
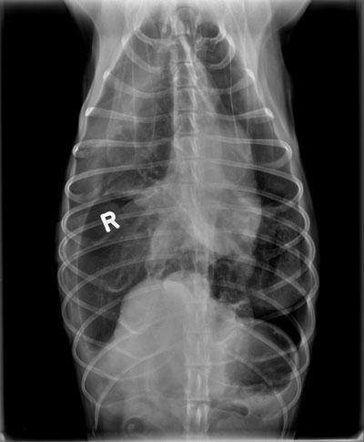
The dogs underwent testing and it was determined that both had suffered trauma to a lung lobe.
“We believe the pressure change during the tornado caused barotrauma to the lung, leading to its rupture, impeding the dogs’ breathing. The difficulty breathing caused a lack of energy,” explains Dugat. “Shortly after the dogs were operated on to remove the damaged tissue, the dogs were reunited with their owners.”
Cichocki and Dugat along with colleague Dr. Timothy Snider, veterinary pathologist at OSU’s veterinary center, published their findings from these two cases in “Traumatic lung injury attributed to tornadic activity-induced barometric pressure changes in two dogs.”
“It was a great feeling to be able to help all of those injured animals at no cost to their owners or to the Good Samaritans who brought them to the hospital,” says Dugat. “It’s also a great feeling to know that the work we did might help another veterinarian diagnose a problem sooner in another injured animal in the future and get that animal the treatment it needs to heal.”
Their full research paper can be found in the Journal of the American Veterinary Medical Association, volume 248, No. 11, June 1, 2016 (http://avmajournals.avma.org/doi/full/10.2460/javma.248.11.1274)
The above radiograph shows severe accumulation of air within the chest cavity of one of the tornado victims due to a damaged lung lobe.